การตรวจหามะเร็งเต้านมในหนูโดยใช้เลกตินเฮลิกซ์โพมาเตียแอกกลูตินิน
รหัสดีโอไอ
Title การตรวจหามะเร็งเต้านมในหนูโดยใช้เลกตินเฮลิกซ์โพมาเตียแอกกลูตินิน
Creator นางสาวนิพัทธา ศรีอ้วน
Contributor ผู้ช่วยศาสตราจารย์ ดร.พัชณี แสงทอง, ผู้ช่วยศาสตราจารย์ ดร.นิสา ชวพันธุ์
Publisher คณะวิทยาศาสตร์ มหาวิทยาลัยเชียงใหม่
Publication Year 2562
Keyword มะเร็งเต้านม, เลกตินเฮลิกซ์โพมาเตียแอกกลูตินิน, หนู
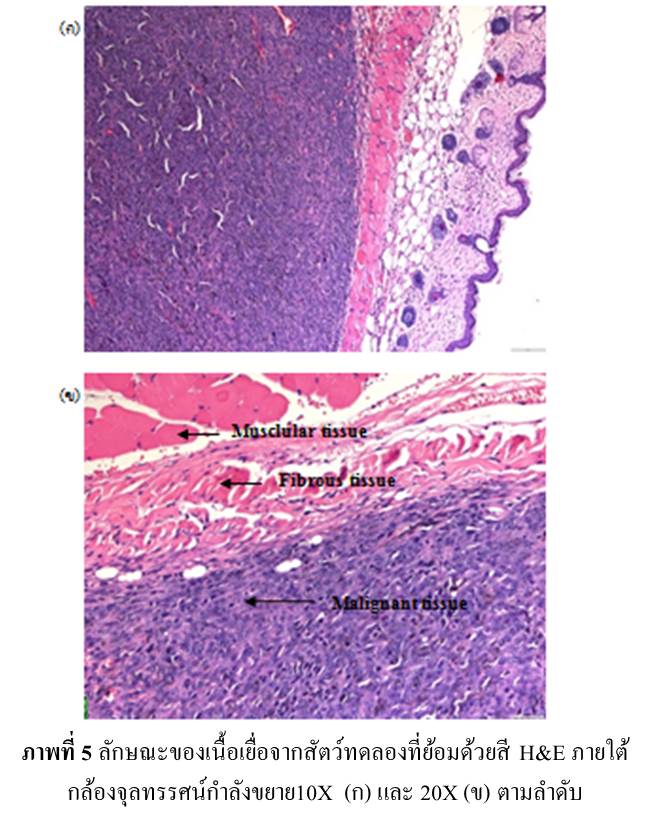
Description ศึกษาการจับของเลกตินเฮลิกซ์โพมาเตียแอกกลูตินิน (HPA) ทดสอบในระดับหลอดทดลองโดยใช้เซลล์ไลน์ และทดสอบในระดับสัตว์ทดลองโดยใช้หนู จากการศึกษาในระดับหลอดทดลองพบว่าเลกติน HPA-AlexaFlour647 สามารถจับกับเซลล์มะเร็งเต้านม (MCF7) ได้ดีที่สุดเมื่อประเมินการจับด้วยกล้องจุลทรรศน์เรืองแสงและวิธี Flow cytometry ในระดับสัตว์ทดลองพบตำแหน่งการเรืองแสงบริเวณที่เกิดก้อนและเวลาที่เหมาะสมในการบันทึกภาพ คือ 1 ชั่วโมงหลังจากฉีดเลกติน HPA-AlexaFlour647 เข้าทางหลอดเลือดดำ การตรวจพิสูจน์ทางพยาธิวิทยาพบว่าชิ้นเนื้อที่ตัดมาจากสัตว์ทดลองในบริเวณที่เกิดการเรืองแสงเป็นลักษณะของเนื้อร้าย ซึ่งผลการตรวจชิ้นเนื้อสอดคล้องกับภาพที่บันทึกได้
Format PICTURE
URL Website https://explore.nrct.go.th/search_detail/result/6553
Date and time 2562
Website title ห้องสมุดงานวิจัยสำหรับสาธารณะ (Extraordinary SimplPublic Library of Research Result : EXPLORE)
National Research Council of Thailand

บรรณานุกรม

EndNote

APA

Chicago

MLA

ดิจิตอลไฟล์

Digital File #1
Digital File #2
Digital File #3
Digital File #4
Digital File #5
DOI Smart-Search
สวัสดีค่ะ ยินดีให้บริการสอบถาม และสืบค้นข้อมูลตัวระบุวัตถุดิจิทัล (ดีโอไอ) สำนักการวิจัยแห่งชาติ (วช.) ค่ะ