|
การศึกษาศักยภาพของต้นรางแดง เพื่อการอนุรักษ์และใช้ประโยชน์โดยชุมชนมีส่วนร่วม |
|---|---|
| รหัสดีโอไอ | |
| Title | การศึกษาศักยภาพของต้นรางแดง เพื่อการอนุรักษ์และใช้ประโยชน์โดยชุมชนมีส่วนร่วม |
| Creator | ดร. จิราภรณ์ ปาลี |
| Contributor | ดร. เรณู อยู่เจริญ, นายสวิง ขันทะสา |
| Publisher | คณะครุศาสตร์ มหาวิทยาลัยราชภัฏเชียงราย |
| Publication Year | 2560 |
| Keyword | รางแดง, ไวรัสเริม, แบคทีเรียก่อโรคทางเดินอาหาร, Ventilago denticulata Willd. |
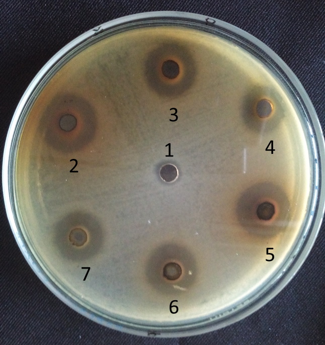
| Description | การวิจัยนี้มีวัตถุประสงค์เพื่อศึกษาข้อมูลพื้นฐาน การเจริญเติบโต และการออกฤทธิ์ทางชีวภาพของรางแดง โดยใช้กระบวนการวิจัยเชิงปฏิบัติการแบบมีส่วนร่วมระหว่างนักวิจัย นักศึกษา และชาวบ้านในตำบลลวงเหนือ ผลจากการวิจัยทำให้ทราบข้อมูลด้านนิเวศวิทยา ลักษณะทางพฤกษศาสตร์ วิธีการขยายพันธุ์ ปัจจัยที่มีผลต่อการเจริญเติบโต รวมถึงพบว่าสารสกัดจากรางแดงมีฤทธิ์ยับยั้งการเจริญของเชื้อแบคทีเรีย E. coli, S. typhimurium, B. cereus และเชื้อไวรัสเริม HSV-1 และ HSV-2 ได้ เพื่อการวางแผนการอนุรักษ์และใช้ประโยชน์จากต้นรางแดงอย่างยั่งยืนต่อไป |
| Format | PICTURE |
| URL Website | https://explore.nrct.go.th/search_detail/result/3431 |
| Date and time | 2560 |
| Website title | ห้องสมุดงานวิจัยสำหรับสาธารณะ (Extraordinary SimplPublic Library of Research Result : EXPLORE) |